Sữa Mẹ Có Thể Gây Sâu Răng

Bú mẹ vốn được xem là cách phòng ngừa sâu răng hiệu quả, song theo một nghiên cứu mới đây trên chuột, sữa mẹ lại dễ gây sâu răng hơn sữa bò. Trong 3 loại sữa gồm sữa mẹ, sữa bò và sữa bột công thức, sữa mẹ ít gây sâu răng hơn sữa bột […]
Trám Răng Không Cần Khoan

Các nhà khoa học tại Viện Răng Leeds (Anh) đã tìm ra giải pháp giúp chữa răng sâu một cách tự nhiên mà không phải trám theo cách như hiện nay. Với cách chữa mới, nha sĩ sẽ quét một chất chứa loại protein đặc biệt lên lỗ sâu còn nhỏ. Protein này sẽ tạo […]
Chỉnh Hình Không Mắc Cài

CHỈNH HÌNH KHÔNG MẮC CÀI – bước tiến vượt bậc của ngành nha Việc niềng răng hiện là phương pháp phổ biến để sắp xếp một hàm răng đều đặn và sửa tật xấu răng miệng (hô, móm, cắn hở…). Tuy nhiên việc đeo mắc cài ít nhiều gây khó chịu về ăn nhai, thẩm […]
12 Tuổi Là Quá Trễ Để Chỉnh Nha

Một hàm răng khỏe mạnh giúp trẻ rất nhiều như việc phát âm đúng, ăn nhai tốt và tất nhiên có một nụ cười xinh. Tuy nhiên, cha mẹ nên chú ý đến sự phát triển răng theo từng giai đoạn của trẻ, trẻ nuốt sai, thở miệng khi ngủ hoặc đặt lưỡi không đúng cách… đều có […]
IMPLANT – Thay Thế Vĩnh Viễn Cho Răng Thật Bị Mất

Cách đơn giản để hiểu về Răng Cấy Ghép là so sánh với Răng Thật.Răng Thật bao gồm chân răng (chôn vào xương hàm) và thân răng (phần răng thấy được trên nướu). Implant nha khoa là một trụ kim loại được thiết kế để thay thế các răng mất. Trụ này thường được làm […]
Nhổ Răng Khôn – Nhẹ Nhàng, Chính Xác và Không Đau

Răng khôn mọc lệch và biến chứng của răng khôn mọc lệch là vấn đề gây rắc rối nhiều đến cuộc sống mà đa phần chúng ta đều mắc phải. Tuy nhiên việc nhổ răng luôn là nỗi lo lắng của tất cả bệnh nhân. Hiện nay Trung Tâm Nha Khoa SAINT PAUL với trang thiết bị […]
Điều Trị Nhổ Răng Tiểu Phẫu

Nhổ răng là nỗi lo lắng của tất cả bệnh nhân. Hiện nay Trung Tâm Nha Khoa SAINT PAUL với trang thiết bị, vật liệu hiện đại và đầy đủ, bệnh nhân không phải lo lắng về sự đau đớn khi nhổ răng. Trước khi tiểu phẩu: Trong khi tiểu phẩu: Sau khi tiểu phẩu: […]
Tẩy Trắng Răng Thẩm Mỹ

Chúng ta biết rằng sở hữu nụ cười thật tươi với hàm răng trắng sáng sẽ giúp tự tin hơn trong giao tiếp. Và hầu hết mọi người đều đồng ý rằng một trong những ấn tượng đầu tiên khi gặp gỡ người khác là nụ cười của họ. Tuy nhiên thời gian và thói […]
Tẩy Trắng Có An Toàn?

Ngày nay hầu hết nha sĩ đều xem tẩy trắng như một điều trị thẩm mỹ đối với bệnh nhân của họ. Hiệp hội nha khoa Hoa Kỳ đã đưa ra kết luận sau: “Thuốc tẩy trắng tại nhà, có sự chỉ định của nha sĩ, được sản xuất bởi một thương hiệu nổi tiếng […]
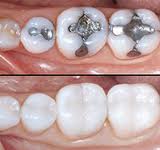
Trám Răng

Trám răng là loại bỏ mô răng sâu và phục hồi lại. nếu sâu răng quá lớn , bạn có thể cần phải điều trị tuỷ và chụp mão Cảm giác đau, ê buốt răng là dấu hiệu bạn cần phải trám răng. Đôi khi, dấu hiệu không xuất hiện mà bạn cần phải trám, […]